Radiologie Quiz 51
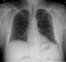
Ein 42-jähriger Freizeitsportler stürzte vor einigen Tagen bei einer Velotour auf die linke Flanke und kommt nun in Ihre Praxis wegen persistierenden thorakalen Schmerzen, v.a. bei tiefer Inspiration.
Sie veranlassen ein Thoraxröntgen, dessen Aufnahmen Sie hier sehen:
|
Frage 1
Welcher der folgenden Befunde trifft zu?
|
|
Frage 2
Welche der folgenden Komplikationen ist im vorliegenden Fall unwahrscheinlich? (mehrere Antworten möglich)
|
Mediscope
22.04.2013 - gem