Leaderboard

Sie sind hier: Fortbildung » Radiologie-Quiz 13. Januar 2026
Suchen
tellmed.ch
Radiologie-Quiz
Erweiterte Suche
Fachliteratur
Fortbildung
Radiologie-Quiz
Röntgenfall des Monats
EKG-Quiz
Labor-Quiz
Kongresse/Tagungen
Tools
Humor
Kolumne
Presse
Gesundheitsrecht
Links
 

Zum Patientenportal

 
Schrift: Schrift grösser Schrift kleiner

 Das Portal für Ärztinnen und Ärzte

Tellmed richtet sich ausschliesslich an Mitglieder medizinischer und pharmazeutischer Berufe. Für Patienten und die Öffentlichkeit steht das Gesundheitsportal www.sprechzimmer.ch zur Verfügung.

 

Rect Top
Richtig

 

 

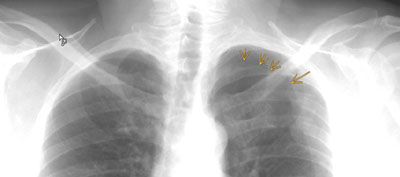
Zu sehen ist eine frische Rippenserienfraktur der 3. bis 5. Rippe links dorsal sowie ein Spitzenpneumothorax links apikal (die Pfeile markieren die Pleura visceralis der zusammengefallenen Lunge).

 

Beim Spitzenpneumothorax ist nur wenig Luft in den Pleuraraum geflossen. Da diese meist nach oben steigt, sammelt sie sich über der Lunge an. Im Röntgenbild sieht man dann die Luftansammlung über der Lungenspitze, daher der Name "Spitzenpenumothorax". Ein Spitzenpneumothorax wird meistens im Röntgenbild bemerkt und macht wie auch in diesem Fall selten Beschwerden im Sinne einer Dyspnoe.

 



 
Adserver Footer
Rect Bottom
 

Fachportal Gastroenterologie:
Abklärung, Diagnose
Therapie, Prävention

Eisen-Fachportal:
Eisenmangel und Eisenmangelanämie
Sprechzimmer: Patientenratgeber
Sky right 1