Leaderboard

Sie sind hier: Fortbildung » Röntgenfall des Monats 13. Januar 2026
Suchen
tellmed.ch
Röntgenfall des Monats
Erweiterte Suche
Fachliteratur
Fortbildung
Radiologie-Quiz
Röntgenfall des Monats
EKG-Quiz
Labor-Quiz
Kongresse/Tagungen
Tools
Humor
Kolumne
Presse
Gesundheitsrecht
Links
 

Zum Patientenportal

 
Schrift: Schrift grösser Schrift kleiner Als Email versenden Druckvorschau

 Das Portal für Ärztinnen und Ärzte

Tellmed richtet sich ausschliesslich an Mitglieder medizinischer und pharmazeutischer Berufe. Für Patienten und die Öffentlichkeit steht das Gesundheitsportal www.sprechzimmer.ch zur Verfügung.

 

Rect Top

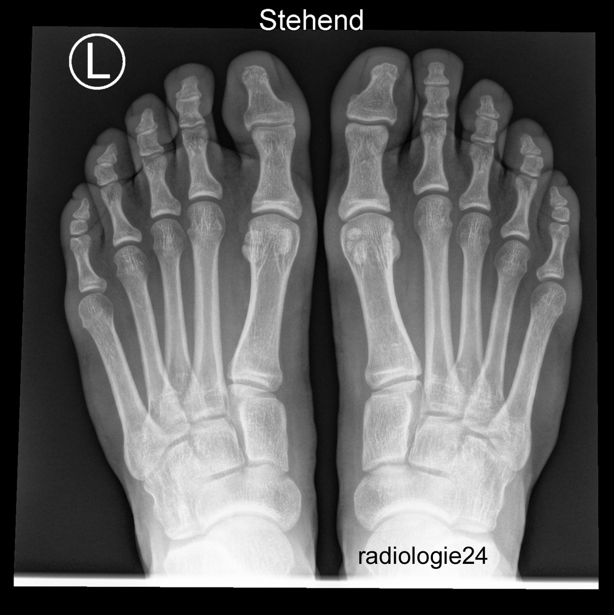
Röntgenfall des Monats November 2018

18 jähriger Patient. Schmerzen im Bereich der Vorfüsse bds. Ihre Diagnose? Weitere radiologische Diagnostik notwendig?

Bild vergrössern

 

 

 

Sie können Ihre Diagnose unter dem folgenden Link auf radiologie24.ch abgeben:

 

https://www.radiologie24.ch/radiologie-mediathek/roentgenfall_des_monats

 

Die Auflösung mit ausführlichem Befund wird um den 20. Dezember 2018 bereitgestellt. Sie können dann überprüfen, ob Sie mit Ihrer Vermutung richtig lagen, und gleichzeitig einen neuen Fall beurteilen.

 

Viel Spass beim Röntgenfall November 2018.

 

 

Radiologie Fortbildung für Hausärzte

www.radiologie24.ch/radiologie-dienstleistungen/radiologie-fortbildungen
 

Radiologie24

12.12.2018 - fgr

 
Adserver Footer
Rect Bottom
 

 

Radiologie Fortbildung für Hausärzte
mehr Infos >>

 

 

Sky right 1