Radiologie Quiz 46
Ihnen wird ein 62-jähriger Patient vorstellig, der seit zwei Wochen subfebrile Temperaturen hat, Husten und leichter Auswurf bestehen ebenfalls. Status nach Zystekomie und Ileum-Pouch sowie Prostatovesikulektomie vor knapp zweieinhalb Jahren bei Plattenepithelkarzinom der Harnblase (pT2 G3).
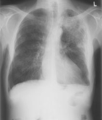
Klinisch zeigt der Patient einen stabilen Allgemeinzustand. Die Lungenauskultation ist unauffällig. Im Labor ist das CRP auf über 160 mg/l erhöht. Das Thoraxröntgen ergibt folgendes pa Bild:
|
Frage 1
Wie lautet Ihre Diagnose? (mehrere Antworten möglich)
|
Mediscope
18.11.2011 - gem