Tellmed richtet sich ausschliesslich an Mitglieder medizinischer und pharmazeutischer Berufe. Für Patienten und die Öffentlichkeit steht das Gesundheitsportal www.sprechzimmer.ch zur Verfügung.
Rect Top
Anzeige
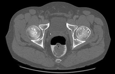
Radiologie Quiz 43
Im Rahmen einer Prostataabklärung wird bei einem 51-jährigen Mann eine Computertomographie des kleinen Beckens durchgeführt.
Knochenbeschwerden werden verneint. Hier ein CT-Schnitt im Bereich der Femurköpfe: