Radiologie Quiz 41
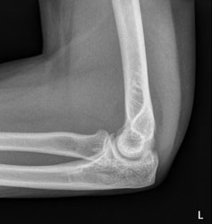
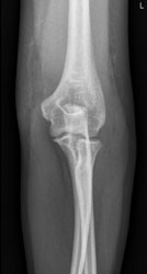
Eine 37 Jahre alte Frau stürzt auf dem Eis zu Boden und stützt sich mit dem linken Arm noch ab. Wegen Schmerzen im linken Ellbogen geht sie zum Arzt, welcher das folgende Röntgenbild macht.
Der erstbehandelnde Arzt sieht auf dem Röntgenbild keine Fraktur und verordnet der Patientin Schmerzmittel. Weil die Schmerzen aber nicht bessern, meldet sich die Patientin wieder und das Röntgenbild wird noch einmal beurteilt:
|
Frage
Wie beurteilen Sie das Röntgenbild?
|
Mediscope
10.12.2010 - dde