Partner

Sie sind hier: Fortbildung » Labor-Quiz 16. März 2026
Suchen
tellmed.ch
Labor-Quiz
Erweiterte Suche
Fachliteratur
Fortbildung
Radiologie-Quiz
Röntgenfall des Monats
EKG-Quiz
Labor-Quiz
Kongresse/Tagungen
Tools
Humor
Kolumne
Presse
Gesundheitsrecht
Links
 

Zum Patientenportal

 
Schrift: Schrift grösser Schrift kleiner Als Email versenden Druckvorschau

 Das Portal für Ärztinnen und Ärzte

Tellmed richtet sich ausschliesslich an Mitglieder medizinischer und pharmazeutischer Berufe. Für Patienten und die Öffentlichkeit steht das Gesundheitsportal www.sprechzimmer.ch zur Verfügung.

 

Rect Top

Labor Quiz 2

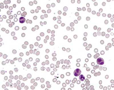
Eine 79jährige Patientin mit einer arteriellen Hypertonie kommt zur Routinekontrolle in Ihre Praxis. Da sie über eine AZ-Verschlechterung seit einigen Wochen berichtet veranlassen Sie einige Laboruntersuchungen.

Hier sehen Sie den Blutausstrich der 79jährigen Frau:

 

Blutausstrich

 

Frage 1

Welche Leukozyten-Kategorie ist in diesem Blutbild vorherrschend?

 

 

Frage 2

Welche weiteren Untersuchungen würden Sie auf jeden Fall veranlassen?

 

 

Sie schicken die Patientin zur weiteren Abklärung einem Hämatologen.

 

Frage 3

Welche Untersuchungen könnten bei der Differenzierung, ob es sich um eine primäre Eosinophilie (Myeloproliferatives Syndrom) oder um eine sekundäre Form (Cytokin gesteuerte Eosinophilenvermehrung) handelt, am ehesten helfen?

 

 

Frage 4

Was ist in der Situation dieser Patientin nun wichtiger?

 

 

Die vorliegenden Angaben stammen von Dr. med. Andreas Kuske in Bern.

 

Mediscope

02.03.2004 - dde

 
Adserver Footer
Rect Bottom
 

Fachportal Gastroenterologie:
Abklärung, Diagnose
Therapie, Prävention

Eisen-Fachportal:
Eisenmangel und Eisenmangelanämie
Sprechzimmer: Patientenratgeber
Sky right 1